关节镜松解术,效果怎么样?
尺骨鹰嘴骨折术后一年,刚取完钢板。目前伸直150,弯曲90。可以做关节镜松解术吗?得多少钱?
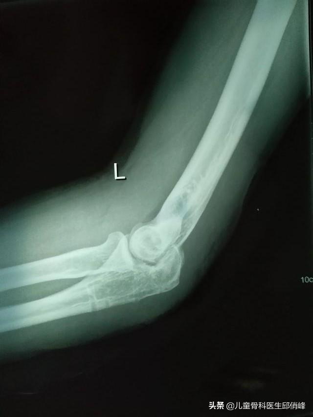
感谢邀请,从片子上看,应该是尺骨鹰嘴骨折手术后,骨折已经愈合,现在拆了钢板的。
从片子上看,肱尺关节,尺骨一侧的关节面模糊,毛糙,关节功能是会受到影响的。
从患者描述,伸直150度,屈曲90度,也就是说活动范围只有30度,这个活动范围确实太小了。严重影响患肢功能。
这么小的活动范围,大部分跟功能锻炼不足有关系,如果第一次手术后,患者因为关节僵硬,无法克服功能锻炼的疼痛,导致现在这种情况,那第二次手术松解后,关节黏连会更加严重,到时功能锻炼更加困难,一般效果不会很好。
建议先采取保守治疗:
1、麻醉下进行手法松解,然后屈曲石膏固定,一周后解除固定,进行功能锻炼。
2、热敷,口服消炎止痛药膏,刻苦锻炼
3、每次锻炼后,用支具固定,这样有利于维持功能锻炼的效果。
4、他人辅助锻炼,由专业医生帮助下进行功能锻炼。
5、CPM功能锻炼器械辅助功能锻炼。无论是手法锻炼,自我锻炼,他人辅助下锻炼,都先热敷,提前口服非甾体消炎止痛药。
如果确认效果不佳,再考虑关节镜松解吧。

内容仅供参考,如果您需解决具体问题(尤其法律、医学等领域),建议您详细咨询相关领域专业人士。
版权声明:文章内容来源于网络,版权归原作者所有,如有侵权请与我们联系,我们将及时删除。
