8个月前胸片正常,8个月后肺部会出现癌症吗?
有这个可能的。
胸片虽然是肺部检查的重要手段,但胸片检查有其局限性,胸片是二维的,相当于将整个胸部压扁压缩到一张纸上,如果肺部8个月前有病兆就有可能被挡住而没看出来,而且对于小于1cm的病兆胸片可能看不出来。
而CT相当于把人从上到下切成一片一片的看,肺部上下左右前后一览无余。1cm以下的病兆也能看出来。
所以,年纪大了的人如果因为咳嗽等症状去检查,最好拍CT。

8个月前胸片正常,8个月后肺部会出现癌症吗?
8个月前胸片正常,8个月后会出现肺癌吗? 有这种可能。主要有两种情况,第一种情况,8个月前肺部是正常的,后来长出肿瘤而且发展比较快,8个月后被发现了,这种情况有但相对少见。更常见的是另一种情况,8个月前肿瘤其实就已经长在肺部里面了,只不过胸片检查不出来,看不到肿瘤。所以为什么我们老强调肺癌筛查一定要做胸部CT,因为很多早期肺癌胸片基本看不到,胸片正常不代表胸部没问题。下面分享几个之前碰到的病例。
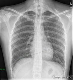
病例一老年男性患者,是一个同事的父亲,之前体检拍过胸片未见异常,6个月后因为其它问题入院,常规拍胸片发现右下肺一个团块影,做了个胸部CT,右下肺就是一个大肿块,考虑肺癌合并阻塞性肺炎,完善检查后做了手术,病理就是肺鳞癌,合并大片炎症并脓肿形成。这一例发展真的很快,回过头来再仔细观察6个月前拍的胸片,的确看不到明显异常,是不是真的没问题不敢说,因为当时没有做CT,但是6个月后的胸片是可以明显看到肿块影的。可以说他算是不幸之中的大幸吧,发现的还算及时,没有转移,可以手术根治。资料如下图,上图为胸片,下图为CT。
病例二这是一个老年女性,应该也不算老,五十几岁,医院的一个同事,职工体检拍了胸片,没看到什么问题。当时她问我们胸部是不是没问题,我们说胸片是正常的,但是因为她五十几岁了,建议再做个胸部CT,因为胸片有些东西真看不到,不怕一万就怕万一,这个同事听从了我们的建议,做了胸部CT,果真发现右下肺有一个很小的病灶,大约1cm左右,考虑早期肺癌。过几天做了手术,病理就是肺腺癌。应该说非常幸运,因为发现的早,手术切了基本就什么事都没了,也不用放化疗,术后没几天又继续上班了。资料如下图,上图胸片,下图CT。
病例三这是一个老年女性,也是同事的家属。6年前同事带到过医院做了一次比较全面的体检(包括胸部CT),结果都挺正常的。后来同事每年想带她到医院体检就不来了,因为感觉自己身体挺好,平时也没什么不舒服,而且之前体检过都没问题。直到最近半年发现身体瘦了很多,有点咳嗽,经不住同事劝,终于到医院检查,检查结果一出来同事眼泪也跟着出来了。肺癌晚期,右下肺癌并肺门淋巴结多发转移,做了PET发现远处也有转移了。很遗憾,同事后悔莫及,或许自己每年坚持一下带到医院体检就不会是这样的结果了,但一切都迟了。资料如下图,左图胸片,右图CT。
肺癌很可怕,可怕之处在于早期肺癌基本没有任何症状,等到症状出现了又往往都不是早期了,而中晚期肺癌的预后很差,五年生存率很低。所以肺癌诊治的关键在于早期检出,早期肺癌临床治愈的几率很大。目前来说发现早期肺癌的唯一有效途径就是胸部CT检查,胸片正常不能代表肺部没事,有高危因素的最好每年一次低剂量胸部螺旋CT筛查,不能像病例三一样体检过一次没事就以为都没事了。
我是@影医C浩 可关注了解更多相关医学知识。
8个月前胸片正常,8个月后肺部会出现癌症吗?
胸片是X线穿透人胸部,心、肺、脊柱、肋骨等在影像片子上的投影,对于肺炎,骨折,气胸,胸腔积液,肺部肿瘤等有一定诊断价值。且因其费用低廉,操作方便等,临床应用广泛。但是对于一些早期肺癌或位置特殊的肺癌的诊断贡献不大。因胸片是一个整体显影,局部肿块大于1厘米才有可能在胸片上显示。此外,除了受肿瘤大小影响,其他脏器及位置的因素也可导致病灶不能被发现,例如肿块被纵隔,心影和膈肌遮挡等。此外一些磨玻璃样改变在胸片上也很难被发现。因此,目前临床上对于肺癌的筛查,应选择低剂量CT。
CT对于肺癌筛查,一般平扫就能满足。平扫CT一般为依次向上或向下的连续断层扫描。相比较于胸片,CT密度分辨率更高,显示更多组织器官,图像也更清晰,使得病变检出率和诊断准确率有所提高。且通过对病灶大小,形状,周围改变可以对良恶性有一个初步的判断。成为肺癌诊断,分期,疗效及随访的主要检查项目。
随着胸部CT成为体检项目之一后,很多早癌被筛查出来。这些早癌在胸片上完全没有显示,在CT上可能仅仅是一小片的磨玻璃影,或很小的结节。CT可以早期发现这些异常改变,并观察其周围是否有毛刺征,分叶征,空泡征或者观察灶内实性成分的多少,用以鉴别病灶的良恶性。目前对于CT上6mm以内的孤立磨玻璃影或部分实性结节(无高危因素者)认为恶性可能性不大,可以不随访。对于6mm以内含有高危因素(例如烟龄长,吸烟多,一级亲属有肺癌病史或接触石棉等)则需要CT随访。6-8mm的磨玻璃影及含有实性成分的单发或多发结节存在恶性风险,均需通过CT随访观察其大小及其内实性成分是否发生改变来用以区别恶性肿瘤。
本文所问的8个月前胸片无异常,8个月后发现肿瘤完全有可能。毕竟对于磨玻璃影,和较小的结节胸片可能无能为力。但两者均存在恶性可能,且有研究提示磨玻璃影的恶变率(34%)要高于实性结节(7%)。对于这些CT上早期发现的异常改变,观察随访或依据其周围病灶情况,可以达到早期诊断及早癌的完全切除,预后较好,目前的数据提示5年生存率可达到100%。
因此,对于有长年吸烟或被动吸二手烟的人群,一级亲属存在肺癌病史,或出现了异常症状如长期刺激性咳嗽,胸痛等,建议胸部低剂量CT作为体检方式。当然CT具有一定放射损害,费用也不是那么低廉,因此检查需适度。
8个月前胸片正常,8个月后肺部会出现癌症吗?
我是小影大夫。8个月前胸片正常,8个月后肺部出现癌症,这种情况是有可能的。胸片看不到早期的癌症,癌症生长的速度很快,8个月时间,胸片可以从无到有。8个月前胸前看不到,可能那时候做CT就会看得到。选择正确的筛查手段,早期诊治非常重要。
分享一个病例在这里,说一下我遇到类似的病例。56岁男性,他2015年12月做了结肠癌的手术,那时候做胸部CT没发现问题。可惜中间都是用胸片复查。2017年1月做了胸片没看到异常,可是6月出现了咳嗽,又去拍了个胸片,发现肺门一个3cm的占位。难道是结肠癌出现了肺转移?随后做了胸部CT检查,不仅肺门有肿块,纵隔淋巴结也出现明显增大,淋巴结也有转移了,但是看到这样的影像,我们考虑是肺原发的非小细胞肺癌,不是结肠癌的转移。也就是说他在两年内出现了结肠癌和肺癌两个癌症。最后做了穿刺活检,证实了是非小细胞肺癌。
相对于鳞癌和腺癌来说,非小细胞肺癌的生长速度更快,早期容易出现淋巴结的转移和远处的转移。一年内可以从无到有。病灶只是很小,可能做胸片的时候还看不到,但是如果那个时候做了CT就会显示的很明显。
胸部低剂量CT是筛查早期肺癌的唯一手段经常有人问到一个问题,说为什么每年体检都是正常的,可是每隔多久却是晚期肺癌?因为所选的筛查手段不对。
胸片目前是最常用的肺部体检手段,但是胸片的显示却没有胸部CT好。胸片好比一个面包🍞从上往下看,从右往左看,所有的结构都重叠在一张图像上,所以会有遮挡,里面如果有小的病灶可能看不清。但是CT扫描,就像吐司面包,一片一片的拿出来看里面究竟有没有长东西。所以如果有个小的病灶,肯定是CT看的清楚的。
胸片因为价格便宜,辐射量更低,所以应用更加广泛。但是如果要筛查早期肺癌,依然推荐用低剂量胸部CT检查。
我是小影大夫,想了解更多医学知识,请关注我。
8个月前胸片正常,8个月后肺部会出现癌症吗?
这个问题要从两个方面回答,一方面是胸片的局限性,另一方面是时间的问题。
首先胸片具有一定的局限性,因为是投影会有重叠胸部正侧位胸片它的呈像原理就好像我们小学时候学的投影,你人站在X线机器旁,机器投过来射线,根据体内射线穿过的密度不同偷在屏幕上的影像的颜色不同,一般来说密度越低的,投影显示出来越黑,密度越高的,投影显示出来的越亮。
因为是投影成像,所以他就有它的弊端,如果肺部真有问题,因为前面有心脏或者前面的肺组织等的阻挡,如果病灶被这些组织包在里面的话,那么里面的病灶就会显示不出来,容易被漏诊。
而胸部CT就像是在家里切土豆,一片一片的把它切开
切片得厚度有10mm一个层面的,也有5mm一个层面的,这样把一个大土豆一片一片切开来看,看里面的病灶会看得很清晰,不容易漏诊。 这是从影像学成像原理方面讲胸片和胸部CT的区别。
所以说如果胸片正常,并不能代表着肺部没有问题,况且是8个月前的胸片,不能作为目前健康的参考。 因为8个月的时间也有可能是新发的肿瘤。
8个月的时间会发生肿瘤?这就是肿瘤为什么那么可怕
就是因为它跟正常细胞不一样,它的更新特别快,每个细胞都有它的寿命,而肿瘤组织就像一个生产小分队,它会一直不间断的更新扩展它的队伍,它要扩展队伍就需要消耗能量,所以一般恶性肿瘤组织的血供都特别好,它需要血液给它提供营养来扩充它的队伍。
所以肿瘤的患者如果出现明显症状,往往都是已经形成肿块了,但是在特别早期,症状不明显,不典型的时候,是需要定期体检来发现的。
8个月前胸片正常,8个月后肺部会出现癌症吗?
这个不敢保证的!
X线检查只能看见较大的肿瘤,现在已经不推荐用X线检查作为常规的肺癌筛查!现在肺癌的筛查一般用于低剂量螺旋CT代替!这个检查对于1cm以下的结节能看的非常清楚,而且射线量不大!能发现大部分的早期的肺癌!
所以肺癌的筛查不要再拍X线片子了!
什么样的人群做,在我拍的视频里有!
(点赞和关注是一种鼓励,谢谢!)
内容仅供参考,如果您需解决具体问题(尤其法律、医学等领域),建议您详细咨询相关领域专业人士。
版权声明:文章内容来源于网络,版权归原作者所有,如有侵权请与我们联系,我们将及时删除。
